Giác mạc là một bộ phận quan trọng trong hệ thống thị giác, đóng vai trò như “cửa sổ” trong suốt, không có mạch máu, có hình chỏm cầu chiếm 1/5 phía trước của vỏ nhãn cầu, giác mạc đảm nhiệm nhiều chức năng then chốt như khúc xạ ánh sáng và bảo vệ các cấu trúc bên trong của mắt.
Việc hiểu rõ cấu trúc, chức năng cũng như những bệnh lý liên quan đến giác mạc sẽ giúp chúng ta chủ động hơn trong việc chăm sóc và bảo vệ sức khỏe đôi mắt. Trong bài viết này, Mediphar USA sẽ cùng bạn tìm hiểu các thông tin cơ bản về cấu trúc, chức năng và các bệnh lý thường gặp của giác mạc.
Các lớp cấu tạo của giác mạc
Đường kính của giác mạc khoảng 11 mm, bán kính độ cong là 7,7 mm. Chiều dày giác mạc ở trung tâm (trung bình 520µm) mỏng hơn ở vùng rìa (trung bình 700µm).

Giác mạc gồm 5 lớp chính từ ngoài vào trong (Biểu mô, Màng Bowman, Nhu mô, Màng Descemet, Nội mô) cụ thể như sau:
- Biểu mô: Biểu mô gồm khoảng 5 đến 7 lớp biểu mô lát tầng xếp rất trật tự, không sừng hóa. Biểu mô là lớp tế bào bảo vệ, có khả năng tái tạo nhanh. Ngăn vi sinh vật và chấn thương nhẹ xâm nhập vào mắt.
- Màng Bowman: Dày khoảng 10 đến 13 micromet, mỏng và trong suốt bên dưới biểu mô. Màng có cấu tạo dạng sợi tương đối chặt chẽ, áp sát vào lớp nhu mô, giúp duy trì hình dạng giác mạc và không có khả năng tái tạo
- Nhu mô (stroma): Chiếm khoảng 9/10 chiều dày của giác mạc, gồm sợi collagen sắp xếp song song, quyết định độ trong suốt và độ bền cơ học.
- Chất căn bản: Chiếm khoảng 18% trọng lượng của giác mạc. Gồm có 3 yếu tố là nước, mucopolysaccharit và các muối hữu cơ. Chất này nằm xen giữa các sợi collagen, giữ nước, hỗ trợ phân bố lực và duy trì tính chất quang học của giác mạc.
- Màng Descemet: Màng đáy dày, bền, có thể tái tạo, ngăn cách nhu mô với lớp nội mô bên trong.
- Nội mô: Chỉ gồm có một lớp tế bào đơn phía trong cùng. Tại đây, các tế bào hình lục giác có đường kính 18 đến 20 micromet. Chúng được xếp sát nhau và trải đều trên mặt sau của màng Descemet, có chức năng bơm nước từ giác mạc ra tiền phòng để giữ giác mạc trong suốt.

Ngoài ra giác mạc còn có các bộ phận như:
- Phim nước mắt: Lớp ngoài cùng bao phủ giác mạc, gồm 3 lớp (lipid – nước – nhầy), giữ ẩm và bảo vệ giác mạc khỏi vi khuẩn, bụi bẩn.
- Thần kinh cảm giác giác mạc: Phân bố dày đặc từ thần kinh tam thoa, giúp giác mạc cực kỳ nhạy cảm, phản xạ chớp mắt nhanh khi có kích thích.

Chức năng của giác mạc
Giác mạc không chỉ là bộ phận quan trọng giúp mắt nhìn rõ mà còn bảo vệ mắt khỏi các tác nhân bên ngoài. Hai chức năng chính của giác mạc bao gồm:
Chức năng khúc xạ ánh sáng
Giác mạc có độ cong và độ trong suốt cao, giúp khúc xạ (bẻ cong) ánh sáng đi vào mắt. Nhờ giác mạc, ánh sáng được hội tụ chính xác lên võng mạc, tạo nên hình ảnh rõ nét, giúp chúng ta nhìn thấy mọi vật một cách rõ ràng và sắc nét.
Chức năng bảo vệ mắt
Giác mạc đóng vai trò như lớp màng chắn, bảo vệ mắt khỏi bụi bẩn, vi khuẩn, và các tác động vật lý nhẹ từ môi trường bên ngoài. Lớp biểu mô ngoài cùng của giác mạc còn có khả năng tự tái tạo nhanh chóng khi bị tổn thương, giúp duy trì sự nguyên vẹn và sức khỏe của mắt.
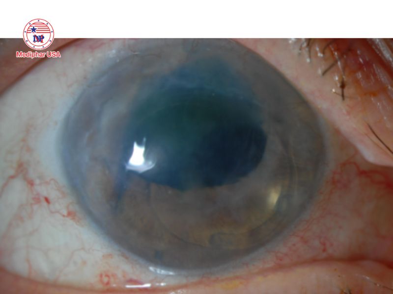
Các bệnh lý thường gặp của giác mạc
Giác mạc là phần rất quan trọng của mắt nhưng cũng rất nhạy cảm, dễ bị tổn thương bởi nhiều nguyên nhân khác nhau. Khi giác mạc gặp vấn đề, thị lực có thể bị ảnh hưởng nghiêm trọng. Dưới đây là một số bệnh lý thường gặp ở giác mạc mà mọi người nên biết để phòng ngừa và điều trị kịp thời.
Viêm giác mạc
Viêm giác mạc là những tổn thương tại giác mạc gồm viêm loét giác mạc (viêm nông) và viêm giác mạc nhu mô (viêm sâu), bệnh do nhiều nguyên nhân gây ra, có thể gây ảnh hưởng nghiêm trọng đến thị lực nếu không được điều trị kịp thời.
Nguyên nhân:
- Viêm giác mạc do virus: Do virus herpes simplex (Herpes Simplex Keratitis).
- Viêm giác mạc do vi khuẩn: Thường do Trực khuẩn mủ xanh (Pseudomonas aeruginosa) và Tụ cầu vàng (Staphylococcus aureus).
- Viêm giác mạc do nấm: Có thể do nấm Fusarium và nấm Aspergillus gây ra
Triệu chứng:
- Khó chịu, mỏi mắt, cảm giác như có dị vật trong mắt.
- Đau nhức âm ỉ, cảm giác nóng rát trong mắt.
- Nhạy cảm với ánh sáng hoặc sợ ánh sáng.
- Chảy nước mắt nhiều.
- Mắt đỏ, tầm nhìn mờ.

Trầy xước giác mạc
Trầy xước giác mạc là tình trạng lớp bề mặt trong suốt của mắt (giác mạc) bị tổn thương do dị vật hay tác động từ bên ngoài gây khó chịu và ảnh hưởng tạm thời đến thị lực.
Nguyên nhân:
- Bụi bay vào mắt
- Dụi mắt mạnh và liên tục khi gặp vật thể lạ như cat, bụi…
- Do vô tình chọc tay vào mắt
Triệu chứng
- Đau mắt, cảm giác cộm như có cát
- Chảy nước mắt
- Nhạy cảm với ánh sáng
- Sưng, đỏ, nhìn mờ

Rách giác mạc
Rách giác mạc là tổn thương sâu hơn so với xước giác mạc. Rách giác mạc là tình trạng trầy xước trên bề mặt biểu mô giác mạc do những dị vật làm tổn thương lớp giác mạc, khiến cho thị lực của người bệnh bị giảm sút dẫn đến đau nhức, khó chịu.
Nguyên nhân
- Các loại hóa chất, chất tẩy rửa trong quá trình sinh hoạt hàng ngày vô tình bắn vào mắt.
- Những dị vật như mảnh vụn gỗ, kim loại, cành cây khô vô tình đâm hoặc bay vào mắt.
- Do cát bụi bẩn khi đi trên đường bay vào mắt.
- Sử dụng kính áp tròng không đảm bảo vệ sinh hoặc dùng trong thời gian dài.
- Dùng tay dụi mắt quá mạnh.
- Không mang kính bảo hộ khi tham gia thể thao hoặc các hoạt động có nguy cơ gây tổn thương cao.
- Tiếp xúc thường xuyên với khói của thuốc lá.
Triệu chứng:
- Đau dữ dội
- Cộm trong mắt, khó mở mắt
- Giảm thị lực đột ngột
- Chảy máu trong tiền phòng.
- Mắt sung huyết trở nên đỏ và đau
- Nhạy cảm với ánh sáng, nhìn mờ tạm thời.

Bỏng giác mạc
Bỏng giác mạc là tình trạng tổn thương lớp trong suốt ở phía trước của mắt (giác mạc) do tiếp xúc với các tác nhân có hại như: hóa chất, nhiệt, tia UV hoặc dị vật.
Nguyên nhân
- Bỏng hóa chất: như acid sulfuric, acid hydrofluoric – thường gây tổn thương bề mặt nặng, amoniac – nguy hiểm nhất vì xâm nhập sâu, gây hoại tử nhanh.
- Bỏng nhiệt: Do hơi nóng, lửa, nước sôi, dầu ăn bắn vào mắt.
- Bỏng do bức xạ: Tia UV từ hàn điện, ánh nắng mạnh hoặc máy chiếu laser.
- Bỏng do dị vật: Kim loại nóng, tia lửa điện hoặc vật sắc nóng bắn vào mắt.
Triệu chứng
- Đau rát, đỏ mắt
- Sợ ánh sáng, chảy nước mắt
- Giảm thị lực
- Co giật mí
- Cảm giác nóng rát ở mắt
- Phù nề kết mạc, sưng kết mạc

Loạn dưỡng giác mạc
Loạn dưỡng giác mạc (Corneal Dystrophy) là tình trạng giác mạc bị lắng đọng một chất màu trắng đục, dẫn tới mất đi tính trong suốt. Loạn dưỡng ở giác mạc hiện nay được phân thành hơn 20 loại và thường mang đặc điểm chung là gây suy giảm thị lực
Nguyên nhân:
- Nguyên nhân chính của bệnh thường liên quan đến yếu tố di truyền (Người có cha mẹ hoặc người thân mắc bệnh sẽ có nguy cơ cao hơn).
- Phần lớn các dạng bệnh di truyền theo kiểu trội trên nhiễm sắc thể thường, một số ít trường hợp di truyền lặn trên nhiễm sắc thể thường.
Triệu chứng: Ban đầu bệnh có thể không có triệu chứng nhưng dần ảnh hưởng thị lực và dẫn đến biến chứng nghiêm trọng như thuỷ thũng giác mạc.

6. Phù giác mạc dạng bóng nước
Bệnh giác mạc bóng nước thường xảy ra sau phẫu thuật đục thủy tinh thể do tổn thương nội mô giác mạc. Tình trạng này gây phù mô đệm, xuất hiện bóng nước ở biểu mô và dưới biểu mô kèm theo mất bù nội mô, làm mắt mờ và gây khó chịu.
Nguyên nhân:
- Loạn dưỡng Fuchs: Bệnh bẩm sinh khiến tế bào nội mô giác mạc thoái hóa dần, mất khả năng điều tiết dịch, gây phù giác mạc.
- Chấn thương sau phẫu thuật: Phẫu thuật nội nhãn (như mổ đục thủy tinh thể) có thể làm tổn thương nội mô khi kỹ thuật kém hoặc thủy tinh thể nhân tạo đặt sai vị trí.
- Giác mạc bọng: Hậu quả của phù giác mạc kéo dài do nội mô mất chức năng, hình thành các bọng nước trong giác mạc làm giảm thị lực và gây đau.
Triệu chứng:
- Khi giác mạc sưng, chất lỏng đọng lại tạo thành bọng nước dưới bề mặt, làm mắt mờ và gây cảm giác cộm, khó chịu.
- Nhạy cảm với ánh sáng (sợ ánh sáng)
- Các bọng vỡ gây đau và cảm giác

Hội chứng nội mô mống mắt giác mạc
Hội chứng nội mô mống mắt giác mạc (ICE) là một bệnh mắt hiếm gặp, thường ảnh hưởng một bên mắt. Bệnh gây biến đổi bất thường tế bào nội mô giác mạc dẫn đến mống mắt biến dạng, góc tiền phòng bị bít và tăng nhãn áp.
Nguyên nhân:
- Nhiễm virus Herpes: Có thể kích thích nội mô giác mạc phát triển bất thường.
- Tổn thương nội mô: Do phẫu thuật mắt (như mổ đục thủy tinh thể) hoặc chấn thương.
- Rối loạn tự phát: Tế bào nội mô biến đổi và di chuyển sai vị trí mà không rõ lý do.
Triệu chứng:
- Đau hoặc cảm giác cộm
- Nhạy cảm ánh sáng, sợ ánh sáng
- Xuất hiện bóng nước nhỏ trên bề mặt giác mạc.

Mộng thịt
Mộng thịt là một khối mô kết mạc phát triển bất thường, có hình tam giác, thường lan dần vào giữa giác mạc.
Mộng thịt có màu đỏ, hồng hoặc trắng nhạt, hơi nhô lên trên bề mặt mắt.
Mộng thịt thường xuất hiện ở khe mi góc trong, cũng có thể ở góc ngoài hoặc cả hai góc (mộng kép).
Nguyên nhân:
- Tiếp xúc tia UV từ ánh sáng mặt trời nhiều năm.
- Tiếp xúc với gió, bụi, khói nhiều, môi trường khô, nóng
Triệu chứng:
- Có một khối bất thường hình tam giác có đỉnh hướng về trung tâm giác mạc.
- Mô màu trắng/ngả vàng mọc từ lòng trắng mắt lan vào giác mạc, cảm giác cộm, khô, có thể làm mờ thị lực nếu lan rộng

Phương pháp chẩn đoán và điều trị kịp thời
Chẩn đoán chính xác là bước quan trọng giúp bác sĩ xác định tình trạng tổn thương của giác mạc và lựa chọn phương pháp điều trị phù hợp. Một số phương pháp chẩn đoán phổ biến bao gồm:
Phương pháp chẩn đoán
Bác sĩ chuyên khoa mắt sẽ khám toàn diện để chẩn đoán. Họ có thể dùng các phương pháp như:
- Khám đèn khe (slit lamp): Để kiểm tra giác mạc và các bộ phận khác của mắt.
- Test nhuộm huỳnh quang: Nhỏ thuốc nhuộm vào mắt để phát hiện vết xước hoặc tổn thương giác mạc dưới ánh sáng đặc biệt.
- Đo thị lực: Đánh giá khả năng nhìn của bệnh nhân để xác định mức độ ảnh hưởng của bệnh giác mạc đến thị lực, giúp theo dõi tiến triển trong quá trình điều trị.
- Xét nghiệm vi sinh vật: Khi nghi ngờ giác mạc bị nhiễm khuẩn hoặc nhiễm nấm, bác sĩ sẽ lấy mẫu tế bào hoặc dịch từ giác mạc để phân tích vi sinh vật.
- Đo độ dày giác mạc (Pachymetry): Đây là kỹ thuật đo độ dày giác mạc, giúp đánh giá tình trạng phù nề hoặc thoái hóa giác mạc.
- Topography giác mạc: Phương pháp này tạo bản đồ bề mặt giác mạc, rất hữu ích trong chẩn đoán các bệnh lý như loạn dưỡng giác mạc hoặc các biến dạng giác mạc khác.
- Đếm số tế bào nội mô: Là một kỹ thuật nhãn khoa quan trọng, giúp đánh giá sức khỏe và chức năng của lớp nội mô giác mạc

Các phương pháp điều trị bệnh về giác mạc
Điều trị các bệnh lý về giác mạc cần dựa trên nguyên nhân, mức độ tổn thương và tình trạng sức khỏe của người bệnh. Dưới đây là các phương pháp điều trị phổ biến và hiệu quả hiện nay:
Sử dụng thuốc điều trị:
- Đối với viêm giác mạc do virus: Herpes simplex, thuốc nhỏ mắt như acyclovir hoặc IDU (5 Iodo 2 Dezoxyuridin), TFT (Trifluoro Thymidin) hoặc thuốc uống như acyclovir có thể được sử dụng.
- Đối với viêm giác mạc do vi khuẩn: Kháng sinh như bacitracin/polymyxin B, ciprofloxacin 0.3% hoặc tobramycin, ofloxacin có thể được chỉ định.
- Đối với viêm giác mạc do nấm: Thuốc kháng nấm như ketoconazol, natamycin, itraconazole có thể được sử dụng.
- Ngoài ra thuốc nhỏ mắt kháng viêm (corticosteroid) và thuốc giãn đồng tử (atropine hoặc scopolamine) có thể được sử dụng để giảm đau và giảm nguy cơ biến chứng.

Điều trị chuyên sâu:
- Phẫu thuật laser (ví dụ: cắt bỏ mô giác mạc bằng quang học – PTK).
- Ghép giác mạc.
- Phẫu thuật thay giác mạc nhân tạo (keratoprosthesis).
Theo dõi và tái khám: Việc tái khám định kỳ giúp đánh giá hiệu quả điều trị, điều chỉnh thuốc phù hợp và phát hiện kịp thời các biến chứng có thể xảy ra.
Bảo vệ và chăm sóc giác mạc
Giác mạc là bộ phận rất nhạy cảm và quan trọng giúp mắt thực hiện chức năng nhìn rõ. Việc bảo vệ và chăm sóc giác mạc đúng cách sẽ giúp duy trì sức khỏe mắt, phòng tránh các bệnh lý và tổn thương không mong muốn. Dưới đây là một số lưu ý quan trọng giúp bảo vệ giác mạc hiệu quả:
- Giữ vệ sinh mắt sạch sẽ: Tránh dùng tay bẩn dụi mắt, đồng thời rửa tay kỹ trước khi chạm vào vùng quanh mắt hoặc nhỏ thuốc nhỏ mắt.
- Hạn chế sử dụng thiết bị điện tử quá lâu: Ánh sáng xanh từ màn hình điện thoại, máy tính có thể gây mỏi mắt và ảnh hưởng đến giác mạc.
- Tránh tiếp xúc với khói bụi và hóa chất – sử dụng kính mát khi ra ngoài: bảo vệ mắt khỏi tia UV gây hại, đồng thời giúp ngăn ngừa khô và kích ứng giác mạc.
- Không tự ý dùng thuốc nhỏ mắt: Chỉ sử dụng thuốc nhỏ mắt theo hướng dẫn của bác sĩ để tránh tác dụng phụ hoặc tổn thương giác mạc do dùng thuốc không đúng cách.
- Duy trì chế độ dinh dưỡng và nghỉ ngơi hợp lý: Bổ sung các thực phẩm giàu vitamin A, C, E và các khoáng chất giúp tăng cường sức khỏe mắt và giác mạc, tránh làm việc quá sức cho mắt, ngủ nghỉ đúng giờ.
- Tập luyện mắt: Nhìn xa – gần, massage nhẹ, xoay mắt để giảm căng thẳng.
- Khám mắt định kỳ: Thăm khám định kỳ tại các cơ sở y tế chuyên khoa để phát hiện sớm các vấn đề về giác mạc và có hướng xử lý kịp thời.

Câu hỏi thường gặp về giác mạc
Giác mạc có mạch máu không?
Giác mạc hoàn toàn không có mạch máu, giác mạc nhận oxy và dưỡng chất chủ yếu từ phim nước mắt, thủy dịch và các mao mạch quanh rìa giác mạc.
Giác mạc có tái tạo được không khi bị tổn thương?
Lớp biểu mô giác mạc có khả năng tái tạo nhanh, nhưng các lớp sâu hơn như Bowman, nhu mô thì không hồi phục hoàn toàn, nếu tổn thương sâu, có thể để lại sẹo, ảnh hưởng thị lực.
Sử dụng kính áp tròng có gây hại giác mạc không?
Sử dụng kính áp tròng có thể gây hại cho giác mạc nếu dùng sai cách: Đeo quá lâu, vệ sinh kém, đeo khi ngủ,… dễ gây viêm, xước hoặc loét giác mạc.
Có thể điều trị tổn thương giác mạc bằng thuốc nhỏ mắt không?
Có thể điều trị tổn thương giác mạc bằng thuốc nhỏ mắt (kháng sinh, chống viêm, dưỡng giác mạc) là phương pháp điều trị chính cho tổn thương nhẹ.
Ghép giác mạc là gì? Khi nào cần ghép giác mạc?
Ghép giác mạc là phẫu thuật thay giác mạc tổn thương bằng giác mạc
Cần hiến giác mạc khi giác mạc bị sẹo, đục, loét không hồi phục hoặc thoái hóa gây mù lòa.
Khô mắt có ảnh hưởng đến giác mạc không?
Khô mắt kéo dài làm giảm độ ẩm, gây trầy xước giác mạc, viêm mãn tính và giảm chất lượng thị giác, điều trị sớm bằng nước mắt nhân tạo, thuốc chống viêm để bảo vệ giác mạc.
Giác mạc có liên quan gì đến tật khúc xạ (cận, viễn, loạn thị)?
Giác mạc chiếm ~2/3 công suất hội tụ ánh sáng vào mắt, nếu giác mạc quá cong, dẹt hoặc không đều gây ra cận, viễn hoặc loạn thị.
Có thể hiến giác mạc sau khi chết không? Và điều kiện là gì?
Có thể hiến giác mạc sau khi chết. Giác mạc người đã khuất vẫn dùng để ghép nếu được bảo quản đúng cách.
Điều kiện: không mắc bệnh truyền nhiễm (HIV, viêm gan B, C), ung thư máu, và phải lấy trong vòng vài giờ sau khi chết.
Mộng thịt ở mắt có nguy hiểm không?
Về mặt giải phẫu bệnh thì mộng thịt là một khối tăng sản lành tính. Tuy nhiên khi mộng thịt phát triển quá lớn sẽ gây ảnh hưởng đến thị lực bệnh nhân và gây giảm thị lực không hồi phục. Do đó việc thăm khám và theo dõi đối với mộng thịt là cần thiết.
Phân biệt mộng mỡ và mộng thịt ở mắt
Mộng mỡ là một khối màu vàng nhạt màu, ít có mạch máu. Mộng mỡ thường chỉ khu trú ở kết mạc và không phát triển vào giác mạc như mộng thịt nên không gây giảm thị lực. Mộng mỡ cũng ít gây kích thích khó chịu cho bệnh nhân như mộng thịt.
Kết luận
Như vậy, giác mạc là lớp bảo vệ đầu tiên và quan trọng của mắt, đồng thời đóng vai trò thiết yếu trong việc duy trì thị lực. Tuy nhiên, giác mạc lại rất dễ bị tổn thương bởi các yếu tố như ánh sáng mạnh, khói bụi, vi khuẩn, hay việc sử dụng thiết bị điện tử quá lâu. Để chăm sóc giác mạc đúng cách, bạn nên bổ sung đầy đủ dinh dưỡng thông qua chế độ ăn uống hằng ngày – đặc biệt là các loại thực phẩm giàu vitamin A, C, E, lutein và omega-3. Đây là những dưỡng chất quan trọng giúp tăng cường sức khỏe giác mạc và cải thiện thị lực.
Bên cạnh đó, nếu cần hỗ trợ thêm, bạn có thể tham khảo các sản phẩm bổ sung dưỡng chất cho mắt như Dầu gấc Vina. Đây là nguồn cung cấp beta-caroten tự nhiên rất tốt cho mắt từ thương hiệu Mediphar USA, giúp hỗ trợ đôi mắt sáng khỏe từ bên trong.

- https://www.matsaigon.com/a-z/cau-tao-va-chuc-nang-cua-giac-mac/
- https://www.vinmec.com/vie/co-the-nguoi/giac-mac-26
- https://my.clevelandclinic.org/health/diseases/14423-corneal-abrasion
- https://my.clevelandclinic.org/health/diseases/8586-corneal-disease
- https://my.clevelandclinic.org/health/body/22261-optic-nerve
- https://my.clevelandclinic.org/health/body/21562-cornea
- https://umcclinic.com.vn/mong-thit-mong-mat-la-benh-gi
- https://www.aao.org/eye-health/diseases/corneal-dystrophies
- https://www.ncbi.nlm.nih.gov/books/NBK574505/
Bài viết này có hữu ích với bạn không? Hãy chọn từ 1 – 5 sao để đánh giá chất lượng bài viết bạn nhé!
MEDIPHARUSA
Đã kiểm duyệt nội dung




![Giá khám mắt ở Bệnh viện Mắt Điện Biên Phủ TP.HCM [cập nhật 2025] Giá khám mắt ở Bệnh viện Mắt Điện Biên Phủ TP.HCM](https://medipharusa.com/wp-content/uploads/2025/10/gia-kham-mat-o-benh-vien-mat-dien-bien-phu-tphcm-720x405.jpg)

⚠️Miễn trừ trách nhiệm: Thông tin trên website Mediphar USA chỉ mang tính chất tham khảo; không được xem là tư vấn y khoa và không nhằm mục đích thay thế cho tư vấn, chẩn đoán hoặc điều trị từ nhân viên y tế. Vui lòng liên hệ với bác sĩ, dược sĩ hoặc chuyên gia y tế để được tư vấn cụ thể.